Healthcare AI Projects - Medical and Health Based
Real results from AI-driven solutions.


AI - Computer Vision and Automated Speech Recognition
Maxillofacial Tumor Detection - CT images, 3D Deep Learning




AI - Deep Learning based 2D/3D X-ray Dental Pathology Detection


Automated Speech Detection (Medical/Dental Transcription) Using Transformers
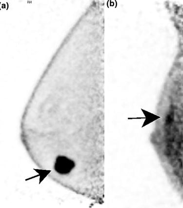
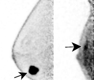
Medical Device - PET Scan for Mammography (3D) - Detect potential tumors or lesions using Positron Emission Tomography
Scientific AI Projects - Security and Inspection
Real results from AI-driven solutions.


AI and Computer Vision
Baggage CT (3D X-ray) - Detection of Explosives, Guns and Knives in checked in and carry-on baggage.




AI based 2D/3D X-ray Inspection of PCB -


Muon Tomography (3D) - Detection of High Z materials or high value contraband (including Tobacco and Opiods).
PET Scan for Mammography (3D) - Detect potential tumors or lesions using Positron Emission Tomography




Airport Body Inspection for Weapons, Explosives and Drugs.
AI Based Inventory Tracking/Inspection - AI Based Location and Recognition using Indoor DronesLocation and Recognition using Indoor Drones
Other AI/ML Projects
Real results from AI-driven solutions.
AI/ Decision Trees/ LLM/ Language Models




Language Models - to extract features or other information from healthcare data utilizing various LLM's including custom fine tuned.
Decision Trees based analysis of healthcare procedures to optimize billing and reduce insurance back-and-forth interactions.
Digix Scientific transformed our product with their AI expertise, delivering results beyond our expectations.
J. Lee
★★★★★
Contact
Reach out for tailored AI solutions.
info@digixsci.com
© 2026. All rights reserved.
